自然な美しさと健康を取り戻す
セラミック治療
Esthetic Ceramic Treatment セラミックで、健康な笑顔を
輝く笑顔、セラミック治療で実現
新座駅南口通り歯科では、自然な見た目と機能を持つ高品質なセラミック治療を提供しています。
院長は日本補綴歯科学会の認定医であり、専門知識と高度な技術に基づいたクオリティの高い補綴治療が可能です。
セラミック治療のメリット

- 自然な見た目
セラミックは透明感があり、天然の歯のような美しい見た目を実現します。 - 耐久性
高品質なセラミックは耐久性があり、長期間にわたって美しさを保ちます。 - 健康的
セラミックは生体親和性が高く、金属アレルギーの心配がありません。 - 色の安定性
セラミックは色の変化が少なく、長期間美しい状態を維持します。
当院のセラミック治療の特徴

- 高品質な材料使用
当院では、審美性と耐久性に優れた高品質なセラミック材料を使用しています。 - 専門分野の歯科医師による治療
日本補綴歯科学会認定医の院長が、患者さま一人ひとりに合わせた最適な治療を提供します。 - オーダーメイド治療
患者さまの口腔状態や希望に合わせたオーダーメイドのセラミック治療を行います。 - 徹底したアフターケア
治療後も定期的な検診とメンテナンスを行い、セラミックの健康をサポートします。
身体に優しい、
金属を使わない歯科治療

当院では、身体に優しいメタルフリー治療を推奨しております。メタルフリー治療は、お口の中に存在する金属を取り除き、非金属のセラミックなどの素材で修復する方法です。
従来の歯科材料には水銀や銀、スズなどの重金属が含まれていることが多くありますが、これらは神経毒性が強く、健康にさまざまな影響を及ぼす可能性があります。
重金属は体内に蓄積され、ホルモンバランスを乱したり、免疫力を低下させたりすることがあります。これによって肌の老化が進行することも考えられます。
メタルフリー治療は、健康を意識される方や、内科や皮膚科で改善しない症状、例えば頭痛、めまい、不眠、金属アレルギー、アトピー性皮膚炎でお悩みの症状が改善されることもあります。当院では金属を使用しない詰め物や被せ物を用いることで、身体にやさしい歯科治療を提供し、健康と美容に貢献します。
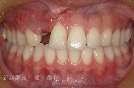
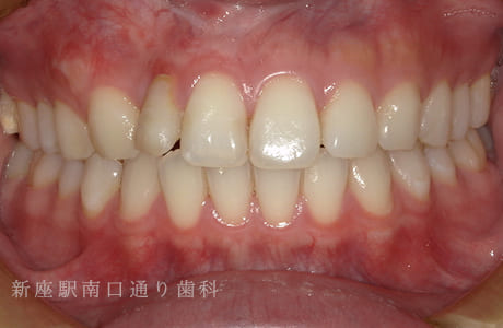
セラミックの症例紹介
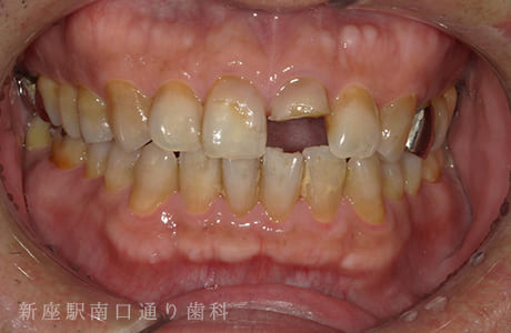
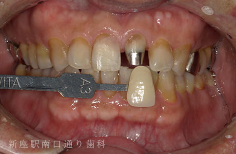
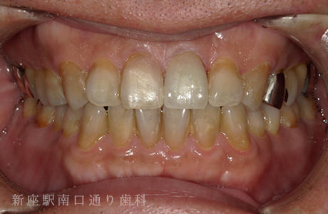
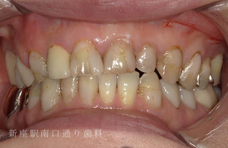
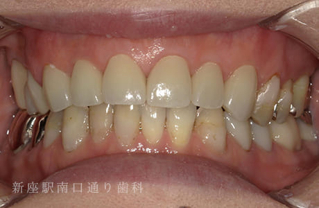
CASE.01
上下顎e-maxインレーで修復した症例
-

上顎術前
-

上顎術後
-

下顎術前
-

下顎術後
-
- 主訴
- 詰め物を白くしたい
-
- 治療法
- 上下顎をe-maxインレーで修復した症例
-
- 費用
- ¥217,800
【リスク・副作用】
過度の咬合や衝撃で割れることがあります。治療直後は歯や歯茎に一時的な違和感や痛みが出ることがあります。
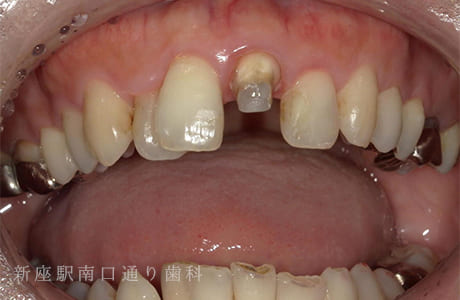
CASE.02
外傷破折歯に対し
ジルコボンドで修復した症例
-
- 主訴
- 外傷破折歯
-
- 治療法
- 外傷破折歯に対しジルコボンドで修復
-
- 費用
- ¥99,000
外傷破折歯に対しジルコボンドで修復したです。他の歯と色調を合わすことで自然な仕上がりになりました。
【リスク・副作用】
過度の咬合や衝撃で割れることがあります。治療直後は歯や歯茎に一時的な違和感や痛みが出ることがあります。
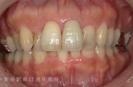
CASE.03
上顎前歯のCR不適に対し
ジルコボンドで修復した症例
-
- 主訴
- CR不適合
-
- 治療法
- 上顎前歯のCR不適に対しジルコボンドで修復
-
- 費用
- ¥594,000
【リスク・副作用】
過度の咬合や衝撃で割れることがあります。治療直後は歯や歯茎に一時的な違和感や痛みが出ることがあります。
CASE.04
フルジルコニアセラミッククラウンで
修復した症例
-
- 主訴
- 失活歯を綺麗にしたい
-
- 治療法
- フルジルコニアセラミッククラウンで修復
-
- 費用
- ¥88,000
【リスク・副作用】
過度の咬合や衝撃で割れることがあります。治療直後は歯や歯茎に一時的な違和感や痛みが出ることがあります。
CASE.05
審美障害をジルコニアボンドセラミックで修復した症例
-
- 主訴
- 前歯を綺麗にしたい
-
- 治療法
- 審美障害をジルコニアボンドセラミックで修復
-
- 費用
- ¥99,000
【リスク・副作用】
過度の咬合や衝撃で割れることがあります。治療直後は歯や歯茎に一時的な違和感や痛みが出ることがあります。
CASE.06
先天的欠損をジルコニア接着ブリッジで
修復した症例
-
- 主訴
- 先天的欠損
-
- 治療法
- 先天的欠損をジルコニア接着ブリッジで修復
-
- 費用
- ¥308,000
【リスク・副作用】
過度の咬合や衝撃で割れることがあります。治療直後は歯や歯茎に一時的な違和感や痛みが出ることがあります。
詰め物・被せ物の費用
詰め物
| 治療費(税込) | |
|---|---|
| セラミックインレー e-max (金属フリーとして最適な材料です。色調はご自身の歯に馴染みながらも、噛み合わせに対する強度を一定程度担保しつつ、高い適合精度で歯に接着します) |
¥72,600 |
被せ物
| 治療費(税込) | |
|---|---|
| オールセラミッククラウン e-max or ジルコニアクラウン (臼歯部向き。噛み合わせや残存歯の状態、外観からの見えやすを考慮して、患者さんに適した材料をご提案します) |
¥88,000 |
| ジルコニアレイヤリング (前歯向き。精度の高い技工製作で、天然の歯と変わらない自然な仕上がりです。過去の症例写真をご覧頂きながら説明いたします) |
¥99,000 |
セラミック治療の一般的なリスク・副作用
当院は医療広告ガイドラインに遵守したホームページ制作に努めおりますので、セラミック治療の一般的なリスク・副作用を記載させて頂いております。
- セラミックの詰め物や被せ物を装着するために、健康な歯を削る必要があります。
- 治療直後は一時的な歯や歯茎に痛みが出ることがあります。
- 個人差はありますが、過度の咬合や衝撃でセラミックが欠けたり壊れたりすることがあります。
- 事前に神経の処置(根管治療)や土台(コア)の処置が必要になることがあります。
RESERVATION
ご予約はこちらから
048-423-8881
平日 10:00-13:30 / 15:00-19:00
土曜 9:30-13:00 / 14:00-18:00
日曜 9:00-13:00 / 14:00-17:00
休診日:火曜、祝日













