輝く笑顔を手に入れる
ホワイトニング
Whitening 白い歯で自信を取り戻そう
自信の笑顔、
ホワイトニングで手に入れる
新座駅南口通り歯科では、あなたの笑顔を一層美しくするためのホワイトニングを提供しています。
ホワイトニングにご興味がある方は、当院までご相談ください。あなたのライフスタイルにあったホワイトニングをご提案します。
当院の
ホワイトニングメニュー
-
オフィスホワイトニング
歯科医院で行うプロフェッショナルなホワイトニングです。
高濃度のホワイトニング剤を使用し、短時間で歯を白くすることができます。通常、光を併用することで効果を高め、即効性と安全性を兼ね備えた治療法です。
オフィスホワイトニングは、短期間で目に見える結果を得たい方に最適な選択肢です。
-
ホームホワイトニング
患者さまが自宅で行うホワイトニングです。
歯科医院で作成したカスタムトレーにホワイトニング剤を入れ、それを一定期間、毎日装着します。通常、数週間かけて徐々に歯が白くなります。
ホームホワイトニングは、時間をかけてゆっくりと歯を白くしたい方に適した方法です。
-
デュアルホワイトニング
オフィスホワイトニングとホームホワイトニングを組み合わせた方法です。
まず、歯科医院でオフィスホワイトニングを行い、即効性のある白さを実現します。その後、自宅でホームホワイトニングを行い、白さを長期間維持します。
デュアルホワイトニングは、短期間で効果を実感し、さらに持続させたい方に最適な方法です。
ホワイトニングの
よくある質問
よく聞かれるホワイトニングにまつわる質問集です。
-
- 希望する白さになるのでしょうか?
-
- ホワイトニング中やその後に痛みや不快感はありますか?
- 薬剤により、のどがいがいがした感じや歯肉が炎症をおこす事がまれにありますが、すぐにおさまります。また、オフィスブリーチング同様、一時的に痛みを感じる事がありますが、1〜3日中断する事ですぐにおさまります。それでも痛みが続く場合は歯科医師にご相談ください。
-
- ホワイトニング中に注意する事はありますか?
- なるべくならタバコ、コーヒー、ウーロン茶、カレー、しょう油、赤ワイン等の色素の強い食品は避けるようにしましょう。
-
- ホワイトニングが受けられない人もいますか?
- エナメル質や象牙質に形成不全があり、それによる変色のある方は、十分な効果が得られない事があります。妊婦や授乳時の方。問題はないのですが、あえてこの時期に行う必要はないと思います。
-
- 治療済みの歯もホワイトニングできますか?
- 詰め物や被せ物は漂白できません。お口の中、全体のホワイトニングを考える場合にはホワイトニングの後にその色に合わせ、つめ物やかぶせ物を替える必要があります。
-
- ホワイトニング後に歯の白さを長持ちさせるにはどうしたら良いですか?
- タバコ、コーヒー、ウーロン茶、コーラ、赤ワイン等の常飲は着色の原因となるので控えた方が無難ですが、実際の生活の中ではなかなか難しい方が多いと思います。術後もこまめに定期検診やクリーニング・PMTCなどをおこなうことをおススメします。
ホワイトニングで
第一印象をアップ!

第一印象は、初対面の0.6秒で見た目によって55%が決まると言われています。この瞬間に好印象を与えるためには、笑顔が最大の武器です。
白く輝く歯は、清潔で健康的な印象を相手に与えます。ホワイトニングは、天然歯自体を白くする唯一の方法です。美しい白い歯を手に入れることで、自信を持って笑顔を見せることができます。
ホワイトニングを通じて、輝く笑顔を手に入れて第一印象をアップしてみませんか? 当院のホワイトニング治療で、あなたの魅力を最大限に引き出しましょう。
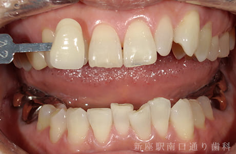
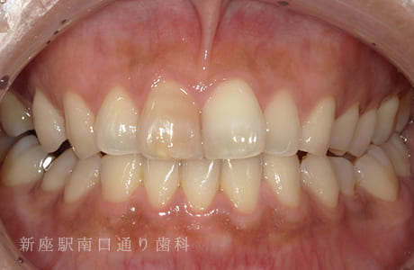
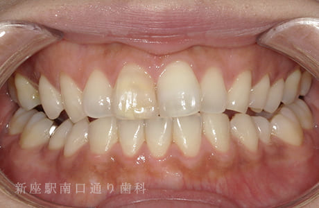
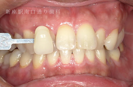
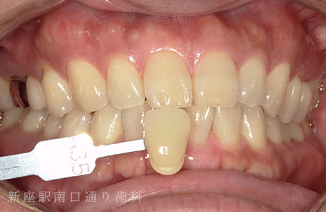
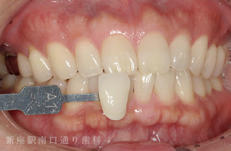
ホワイトニングの症例紹介
CASE.01
オフィスホワイトニング
-
- 主訴
- 歯を白くしたい
-
- 治療法
- オフィスホワイトニング
-
- 治療期間
- 1回
-
- 費用
- ¥44,000
【リスク・副作用】
ホワイトニング後に歯が一時的にしみることがあります。 ホワイトニングの効果は永久的ではなく、生活習慣や食生活によって徐々に元の色に戻ることがあります。
CASE.02
オフィスホワイトニング
-
- 主訴
- 歯を白くしたい
-
- 治療法
- オフィスホワイトニング
-
- 治療期間
- 1回
-
- 費用
- ¥44,000
【リスク・副作用】
ホワイトニング後に歯が一時的にしみることがあります。 ホワイトニングの効果は永久的ではなく、生活習慣や食生活によって徐々に元の色に戻ることがあります。
CASE.03
オフィスホワイトニング
-
- 主訴
- 歯を白くしたい
-
- 治療法
- オフィスホワイトニング
-
- 治療期間
- 1回
-
- 費用
- ¥44,000
【リスク・副作用】
ホワイトニング後に歯が一時的にしみることがあります。 ホワイトニングの効果は永久的ではなく、生活習慣や食生活によって徐々に元の色に戻ることがあります。
CASE.04
オフィスホワイトニング
-
- 主訴
- 歯を白くしたい
-
- 治療法
- オフィスホワイトニング
-
- 治療期間
- 1回
-
- 費用
- ¥44,000
【リスク・副作用】
ホワイトニング後に歯が一時的にしみることがあります。 ホワイトニングの効果は永久的ではなく、生活習慣や食生活によって徐々に元の色に戻ることがあります。
ホワイトニングの費用
| 治療費(税込) | |
|---|---|
| ホームホワイトニング | ¥33,000 |
| オフィスホワイトニング | ¥44,000 |
| デュアルホワイトニング | ¥66,000 |
ホワイトニングのリスクと副作用
当院は医療広告ガイドラインに遵守したホームページ制作に努めおりますので、ホワイトニングの一般的なリスク・副作用を記載させて頂いております。
- ホワイトニング後に歯がしみることがあります。特に冷たいものや熱いものがしみる場合がありますが、通常は数日から数週間で治まります。
- ホワイトニング剤が歯の表面の保護膜を溶かしてしまうことがあり、歯の表面がザラザラすることがあります。通常は数日で元の状態に戻ります。
- 歯の構造や厚みによって、ホワイトニング剤の効果が均一に出ないことがあり、色ムラが発生することがあります。
- ホワイトニングの効果は永久的ではなく、生活習慣や食生活によって徐々に元の色に戻ることがあります。
- ホワイトニング剤が歯茎に触れると、歯茎が刺激されて痛みや炎症を引き起こすことがあります。
- 施術後に一時的な痛みが出ることがありますが、通常は24時間以内に軽減します。
RESERVATION
ご予約はこちらから
048-423-8881
平日 10:00-13:30 / 15:00-19:00
土曜 9:30-13:00 / 14:00-18:00
日曜 9:00-13:00 / 14:00-17:00
休診日:火曜、祝日










